Hướng dẫn chi tiết các bước khám bệnh tại bệnh viện Bạch Mai
Bệnh
viện Bạch Mai là bệnh viện hạng đặc biệt, được thành lập năm 1911, đến nay bệnh
viên đã hơn 100 năm thực hiện nhiệm vụ chính trị c[...]
Cách đây 3 năm, người phụ nữ này đặt vòng tránh thai, gần đây thường xuyên bị đau bụng không rõ nguyên do. Đi khám phụ khoa, bác sĩ phát hiện vòng trá[...]
Với cú pháp TB gửi 1402, mỗi tin nhắn gửi đi sẽ tạo thêm cơ hội điều trị cho người bệnh lao, giảm nguồn lây trong cộng đồng.
Kêu gọi người dân ủng h[...]
Cảm thấy có lỗi với đồng nghiệp, xấu hổ bởi không nuôi nổi vợ con, bác sĩ 35 tuổi ở Bệnh viện Đa khoa Vĩnh Long đành xin nghỉ việc.
Chia sẻ với VnEx[...]
Bệnh nhân 32 tuổi bị đau đầu, khó ngủ, khó ngủ, được bác sĩ Bệnh viện Đa khoa Xuyên Á TP HCM phát hiện có khối u não rất lớn.
Nữ bệnh nhân quê ở Bìn[...]
Bé gái ở Quảng Bình bị rắn cắn, người nhà chỉ bó lá cho con, một ngày sau bàn chân sưng to, tím.
Bàn chân của trẻ sưng bọng nước. Ảnh: Long Nhật.
[...]
Bệnh viện An Bình quy mô 500 giường bệnh tại quận 5 khởi công xây dựng ngày 11/5.
Phó giáo sư Bùi Mạnh Côn, Giám đốc Bệnh viện An Bình cho biết dự án[...]
Lá gan khỏe mạnh trông mịn màng và màu nâu đỏ, lá gan bị bệnh thì thô cứng màu xám và xuất hiện những đốm đen.
Mới đây, chương trình truyền hình Dre[...]
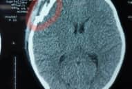
Bé 8 tuổi ở Quảng Bình đang chơi trong quán thì bị một thanh niên say xỉn cầm chai bia đập vào đầu.
Hình ảnh chụp CT cho thấy trẻ bị vỡ xương sọ.
C[...]
Dựa trên dữ liệu 200 ca ung thư, hệ thống trí tuệ nhân tạo đưa ra phác đồ tương đồng 90% so với phương án của bác sĩ.
Ngày 10/5, Bệnh viện K Trung ươ[...]
Các bác sĩ Trung tâm Cấp cứu 115 TP HCM được đề xuất tăng thêm 6 triệu đồng mỗi tháng; bảo vệ, lao công thêm 2,4 triệu.
Ngày 10/5 Phó chủ tịch UBND T[...]
Dựa trên dữ liệu 200 ca bệnh ung thư, hệ thống trí tuệ nhân tạo đưa ra phác đồ với kết quả tương đồng 90% so với phương án của bác sĩ.
Ngày 10/5, Bện[...]
Trưa 10/5 (giờ Thụy Sĩ), tiến sĩ David Goodall thanh thản ra đi trong vòng tay người thân.
Sau thời gian dài đấu tranh và hơn một tháng trở thành ch[...]
Bệnh viện Đa khoa Hà Đông yêu cầu kíp mổ viết tường trình vụ bệnh nhân 37 tuổi gãy xương tử vong sau mổ.
Ông Đào Thiện Tiến, Giám đốc Bệnh viện Đa kh[...]
Người phụ nữ được đưa vào Bệnh viện 115 Nghệ An cấp cứu với chiếc máy xay thịt vẫn còn đang cuốn lấy bàn tay.
Sáng 10/5, bệnh nhân được đưa vào Bệnh [...]
Bé 13 tuổi (Nghệ An) nhập viện trong tình trạng chảy máu ổ bụng, vỡ lách.
Bệnh nhân được đưa đến bệnh viện Sản Nhi Nghệ An cấp cứu trong tình trạng l[...]
Các nhà khoa học Anh phát hiện thuốc chữa loãng xương có thể dùng điều trị hói đầu ở đàn ông.
Hói đầu là nỗi khổ của nhiều đấng mày râu khiến khoa h[...]
Bệnh viện Đa khoa Hà Đông yêu cầu kíp mổ viết tường trình vụ bệnh nhân 37 tuổi gãy xương tử vong sau mổ.
Ông Đào Thiện Tiến, Giám đốc Bệnh viện Đa kh[...]